Dental Office in Abilene

Dentistry Before and After Photos

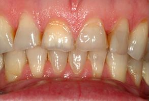
before

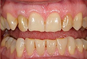
Before

Southwest Dental Group | Sedation Dentistry, Cosmetic Dentistry and Night Guards

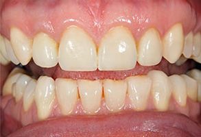
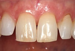
After

Southwest Dental Group | Sports Mouthguards, Dental Bridges and Invisalign reg

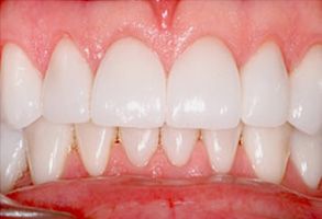
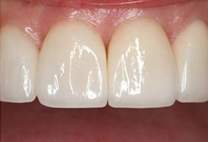
Before

Southwest Dental Group | Periodontal Treatment, Ceramic Crowns and Orthodontics

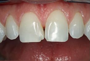
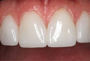
After

Southwest Dental Group | Root Canals, Sedation Dentistry and Orthodontics

Before

Southwest Dental Group | Oral Exams, Laser Dentistry and Emergency Treatment

After

Southwest Dental Group | Extractions, Periodontal Treatment and Implant Dentistry

Before

Southwest Dental Group | Sedation Dentistry, Invisalign reg  and Dental Cleanings

After

Southwest Dental Group | Dental Fillings, Root Canals and Digital Radiography

Before

Southwest Dental Group | Orthodontics, Snoring Appliances and Periodontal Treatment

After

Southwest Dental Group | Night Guards, Invisalign reg  and All-On-X

Before

Southwest Dental Group | Orthodontics, Night Guards and Veneers

After

Southwest Dental Group | Emergency Treatment, Dental Fillings and Preventative Program

Before

Southwest Dental Group | Emergency Treatment, Sedation Dentistry and All-On-X

After

Schedule a visit today!
Contact Us
Submit

Thank You!

We appreciate you taking the time to visit our site. We'll review your message and be in touch with you soon.

Continue
Cosmetic Dental Office 79606